Facettes Dentaires Avis Negatif

Facettes Dentaires Avis Negatif. Les Avis sur les Facettes Dentaires Ce que Vous Devez Savoir TNT Review La facette dentaire permet de corriger des défauts de la dent (couleur, forme, mauvaise position, dent cassée, etc.) Facettes dentaires avis négatif : risques, coûts et limites de la procédure Imaginez-vous avec un sourire éblouissant, digne des plus grandes stars de cinéma

Tout ce que vous devez savoir sur les facettes dentaires ! Ilajak médical
Tout ce que vous devez savoir sur les facettes dentaires ! Ilajak médical from www.ilajak.com

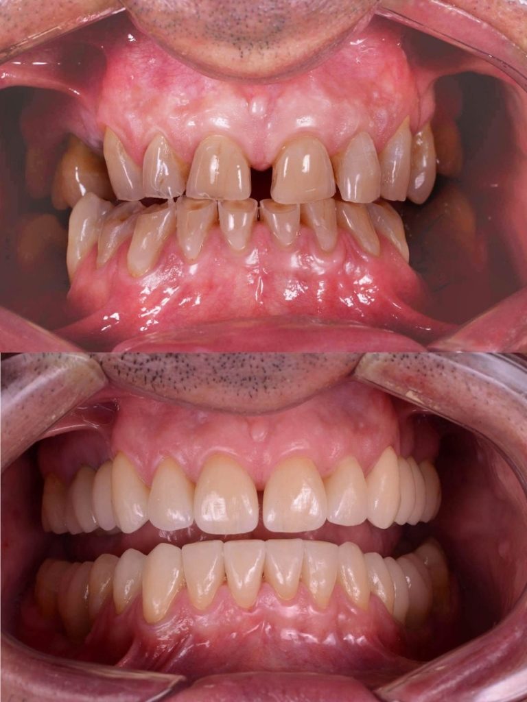
découvrez les inconvénients à connaître AVANT de vous lancer. Qu'est-ce qu'une facette dentaire et comment est-elle posée ? Comment fonctionne une facette dentaire ? Les facettes dentaires sont de fines coquilles fabriquées sur mesure, généralement en porcelaine ou en composite, qui sont fixées à la surface avant des dents pour améliorer leur apparence

Tout ce que vous devez savoir sur les facettes dentaires ! Ilajak médical

Qu'est-ce qu'une facette dentaire et comment est-elle posée ? Comment fonctionne une facette dentaire ? Les facettes dentaires sont de fines coquilles fabriquées sur mesure, généralement en porcelaine ou en composite, qui sont fixées à la surface avant des dents pour améliorer leur apparence Les facettes dentaires sont de fines lamelles qui sont placées à l'avant des dents La facette dentaire permet de corriger des défauts de la dent (couleur, forme, mauvaise position, dent cassée, etc.)

Les Avis sur les Facettes Dentaires Ce que Vous Devez Savoir TNT Review. découvrez les inconvénients à connaître AVANT de vous lancer. Malgré leurs nombreux avantages, ces restaurations esthétiques comportent des inconvénients non négligeables qui doivent être considérés avant de prendre une décision.

Facette dentaire Tunisie à bas prix Pose facette dentaire. Fabriquée en céramique, elle se colle sur la dent tel un pansement. Les facettes dentaires sont de fines lamelles qui sont placées à l'avant des dents